Mouse Hepatic Progenitor Organoid Culture: Supplementary Protocols
Mouse Hepatic Progenitor Organoid Culture: Supplementary Protocols
- Document # 27087
- Version 1.0.0
- 12/1/17
The following are supplementary protocols for the culture of hepatic organoids with HepatiCult™ Organoid Growth Medium (Mouse) (Catalog #06030). For complete culturing methods, use this document in coordination with the Product Information Sheet (PIS; Document #DX21821), which includes a full materials list and step-by-step instructions for isolating hepatic duct fragments from mouse liver tissue, culturing hepatic progenitor organoids in Corning® Matrigel® domes, and passaging cultures as organoid fragments.
This table summarizes the available protocols for culturing hepatic progenitor organoids in HepatiCult™ Organoid Growth Medium (Mouse) and where the detailed protocols can be located. Within this table, Tech Bul. refers to this document (DX27087) and PIS refers to the Product Information Sheet (DX21821).
1 General Recommendations for Hepatic Organoid Culture
1.1 Pre-wetting Plasticware
Conical tubes and serological pipettes that come in contact with
hepatic ducts should be pre-wetted, as hepatic ducts frequently
adhere to their surfaces, significantly reducing organoid yield. Pre-
wet tubes and pipettes on the day of the experiment.
To pre-wet 15 mL conical tubes, add 5 mL of Anti-Adherence
Rinsing Solution (Catalog #07010) and swirl to thoroughly coat
the tube. Transfer the Anti-Adherence Rinsing Solution to the
next tube and repeat until all required tubes have been coated.
Repeat these rinsing steps with the same volume of Advanced
DMEM/F-12 (Thermo Fisher #12634010). To pre-wet 50 mL conical
tubes, use the same procedure with 30 mL of each solution. Tubes
may be capped and stored at room temperature (15 - 25°C) until
use. To pre-wet serological pipettes and pipette tips, add 10 mL
of Anti-Adherence Rinsing Solution to one 15 mL conical tube
and 10 mL of Advanced DMEM/F-12 to a second 15 mL tube.
Rinse the pipette or pipette tip with the two solutions in sequence
immediately before use.
1.2 Recommendations for Seeding Density
For best results it is recommended to seed hepatic ducts harvested
from one liver (as per the PIS) into 4 wells (one 30 μL Matrigel® dome per well) when culturing hepatic duct fragments, or into 8 wells if seeding cultures as single cells, as per Section 2.1 (below). Once organoids are established (p1+), seed organoid cultures with
200 organoid fragments (PIS Section B) or 10,000 - 15,000 single
cells per 30 μL Matrigel® dome (Section 2.2 below).
It is crucial not to over seed the organoid cultures. If too much
starting material is embedded in a Matrigel® dome, organoids
cannot expand properly and the structural stability of the matrix
can be compromised.
1.3 When to Passage Hepatic Progenitor Organoids
Organoid cultures are typically ready to passage every 4 - 7 days
during primary culture (p0) or 3 - 5 days after passaging (p1+).
Passage organoids as soon as the lumens of the organoids begin to
darken as the optimal time to passage may vary between cultures
and is dependant on several factors including seeding density and
the originating animal. If the majority of organoids are smaller
than 100 μm and exhibit clear lumens, return the culture to the
incubator for an additional day of culture.
If the majority of organoids contain darkened lumens or are
collapsed (Figures 1C and 2C), the culture may still be recovered
through passaging. During fragment enumeration, be careful to
only count organoid fragments and not single cells (Figure 3) and
seed the passaged culture with 200 fragments per well. Darkened
and collapsed cultures may also be recovered through single-cell
passaging (Section 2.2 below) as it enables selective expansion of
the healthy stem cell population.
Cultures may also exhibit a different morphology, in which there
are a significant number of small, dense, darkened organoids that
are not the result of healthy organoid collapse, but rather never
grew to that extent. These cultures can also be improved upon
passaging. In this case, pass the material to be passaged through a
70 μm cell strainer after mechanical trituration before proceeding
to further steps. The small, dense organoids will not be broken up
during trituration and will be caught in the filter and eliminated,
allowing for enrichment of healthy organoid fragments in the
filtrate. Count fragments in the filtrate and proceed with culturing
200 organoid fragments per well.
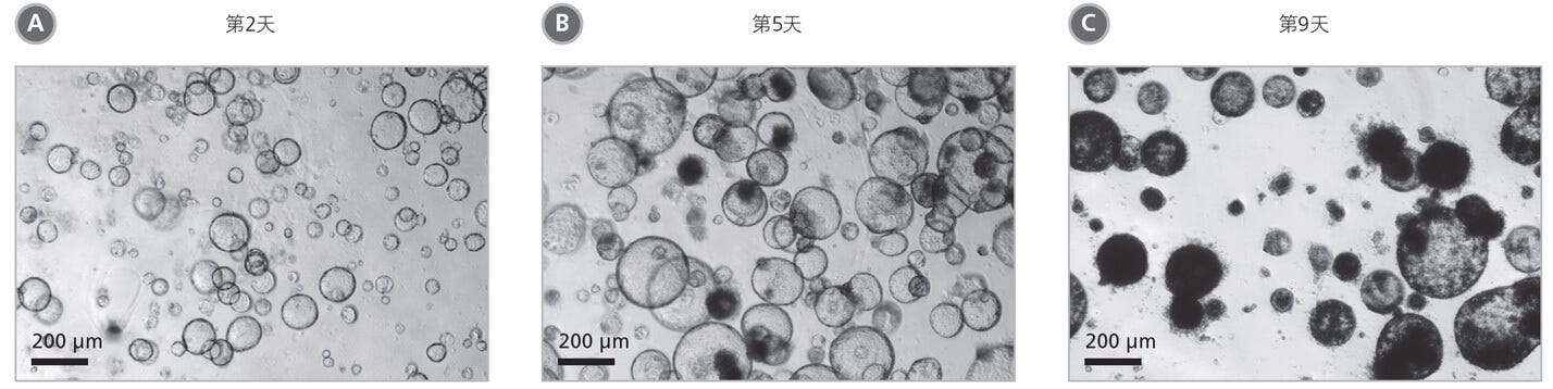
Figure 1. Hepatic Organoids Grown in HepatiCult™ Organoid Growth Medium (Mouse) Plated in Matrigel® Domes.
(A) The majority of hepatic organoids are still less than 100 μm in diameter, exhibit clear lumens and are not yet ready for passaging. (B) The majority of organoids are larger than 100 μm and the lumens of a few organoids have turned dark. These cultures are ready to be passaged. (C) Organoids have passed the typical passage window; the lumens of most organoids have darkened and many organoids have collapsed.
Figure 2. Hepatic Organoids Grown in HepatiCult™ Organoid Growth Medium (Mouse) Plated in a Dilute Matrigel® Suspension.
(A) The majority of hepatic organoids are still less than 100 μm in diameter, exhibit clear lumens and are not yet ready for passaging. (B) The majority of organoids are larger than 100 μm and the lumens of a few organoids have turned dark. These cultures are ready to be passaged. (C) Organoids have passed the typical passage window; the lumens of most organoids have darkened and many organoids have collapsed.
1.4 Mechanical Trituration and Enumeration of Organoid Fragments
Expanded organoids are mechanically triturated during passaging and the resulting organoid fragments should be smaller than 100 μm (Figure 3A). If the majority of fragments are larger than 100 μm (Figure 3B), continue trituration to further break up fragments before organoid fragment enumeration. When counting organoid fragments for plating, count only those that are smaller than 100 μm and be careful not to count single cells (Figure 3C).
Figure 3. Hepatic Organoids are Broken Down to 100 μm fragments for passaging.
(A) Mechanical disruption of organoids during passaging should produce organoid fragments between 30 - 100 μm in diameter. (B) Organoid fragments larger than 100 μm should be further triturated until they are 30 - 100 μm in diameter. (C) During enumeration, count fragments (circled) and ignore single cells
2 Dissociation of Hepatic Ducts and Organoids into Single Cells
2.1 Dissociating Primary Hepatic Tissue into Single Cells
- Prepare complete HepatiCult™ Organoid Growth Medium (Mouse); refer to the PIS. When initiating or passaging hepatic progenitor organoids as single cells, supplement complete HepatiCult™ Organoid Growth Medium (Mouse) with 10 μM Y-27632 (Catalog #72302).
- Prepare the DNase I + TrypLE™ solution by adding 50 μL of 1 mg/mL DNase I Solution (Catalog #07469) to 5 mL of TrypLE™ Express Enzyme (Thermo Fisher #12605010). Mix thoroughly and store on ice.
- Process a single mouse liver to harvest hepatic ducts as described in steps A.1 - 19 of the PIS. Omit step A.17 to harvest as much tissue as possible and follow steps A.18 - 19 to collect the hepatic ducts on a 37 μm Reversible Strainer (Catalog #27250) and elute into a pre-wetted 50 mL conical tube with Advanced DMEM/F-12.
- Centrifuge the tube at 290 x g for 5 minutes. Aspirate as much of the supernatant as possible without disturbing the pellet, leaving ~5 - 10 μL in the tube.
- Using a pre-wetted 10 mL serological pipette, add 4 mL of DNase I + TrypLE™ solution to the pellet. Resuspend the pellet by pipetting up and down gently 5 - 10 times. Place in a 37°C water bath for 10 minutes to dissociate the collected ducts into single cells.
- Add 8 mL of Advanced DMEM/F-12 to the tube. Pass the total volume through a pre-wetted 37 μm cell strainer and collect the flow-through.
- Centrifuge the collected flow-through at 290 x g for 5 minutes. Aspirate as much of the supernatant as possible without disturbing the pellet, leaving ~5 - 10 μL in the tube.
- Resuspend the pellet in 1 mL of Advanced DMEM/F-12.
- Add 4 mL of cold Ammonium Chloride Solution (Catalog #07800) to lyse red blood cells. Gently pipette up and down 5 - 10 times to mix. Transfer equal volumes of this suspension into each of 8 pre-wetted 15 mL conical tubes. Leave the tubes on ice for 5 minutes to lyse red blood cells.
- Centrifuge the 8 tubes at 290 x g for 5 minutes. Aspirate as much of the supernatant as possible without disturbing the pellets, leaving ~5 - 10 μL in the tube. Place tubes on ice.
- Plate the cells into 8 wells according to steps A.22 - 31 of the PIS for culture in Matrigel® domes or steps 3.1.6 - 3.1.15 to culture cells in a dilute Matrigel® suspension (below).
2.2 Dissociating Hepatic Progenitor Organoids Cultured in Matrigel® Domes into Single Cells
- Process Matrigel® domes as described in steps B.1 - 8 of the PIS.
- Centrifuge the tube containing the pooled hepatic organoid fragments at 290 x g for 5 minutes. Aspirate as much of the supernatant as possible without disturbing the pellet, leaving ~5 - 10 μL in the tube. Place tube on ice.
- Add 1 mL of DNase I + TrypLE™ (see step 2.1.2 above) to the pellet and gently pipette up and down 5 - 10 times. Pipette only to the first stop to avoid introducing bubbles. Place in a 37°C water bath for 10 minutes to dissociate organoid fragments into single cells.
- Add 2 mL of Advanced DMEM/F-12 to the tube.
- Centrifuge the tube at 290 x g for 5 minutes. Aspirate as much of the supernatant as possible without disturbing the pellet, leaving ~5 - 10 μL in the tube.
- Add 1 mL of cold Advanced DMEM/F-12 to resuspend the pellet. Using a hemocytometer, perform a cell count to estimate the number of cells in suspension.
- Add 10,000 - 15,000 cells per well to be seeded to the corresponding number of 15 mL conical tubes, each containing 1 mL of cold Advanced DMEM/F-12. Aliquot cells carefully as it is important not to over seed the cultures (see Section 1.2 above).
- Centrifuge the tube(s) at 290 x g for 5 minutes. Without
disturbing the pellet, carefully aspirate as much of the
supernatant as possible, leaving ~5 - 10 μL in each tube. Place
the tube(s) on ice.
NOTE: The pellet is often not visible. - For subsequent steps in the passaging protocol, refer to steps A.22 - 31 of the PIS.
3 Initiation and Passaging of Hepatic Progenitor Organoid Cultures in a Dilute Matrigel® Suspension
In addition to culture in Matrigel® domes, hepatic progenitor organoids may be cultured in a dilute Matrigel® suspension. When cultured in suspension, Matrigel® forms a semi-solid ‘cloud’ that loosely encapsulates the growing organoids. Growth in suspension allows the scale-up of cultures beyond what may be practical when plating in Matrigel® domes. Such scale-up is possible due to the elimination of medium changes, decreased reliance on the physical stability of the Matrigel®, and a plating technique that is more amenable to high-throughput work-flows. Compared to organoids grown in Matrigel® domes, organoids grown in a dilute Matrigel® suspension are typically ready for passage earlier, usually within 3 - 6 days, and can be maintained in culture through passaging, or cryopreserved for future experiments.
3.1 Initiating Organoid Cultures in a Dilute Matrigel® Suspension
- Place a wrapped 12-well plate for suspension culture (Greiner Bio-One #665102) at 2 - 8°C for at least 10 minutes. Place boxes of sterile 1000 μL and 200 μL pipette tips at 2 - 8°C.
- Thaw 500 - 1000 μL of Matrigel® on ice.
- Prepare complete HepatiCult™ Organoid Growth Medium (Mouse) and place on ice. For complete instructions refer to the PIS.
- Prepare Tissue Dissociation Cocktail (see the PIS). Warm to room temperature (15 - 25°C).
- Process mouse liver tissue to harvest duct fragments as described in steps A.4 - 21 in the PIS or follow Section 2.1 Dissociating Primary Hepatic Tissue into Single Cells.
- Using a cooled pipette tip, add 100 μL of thawed Matrigel® to 900 μL of cold HepatiCult™ Organoid Growth Medium (Mouse) in a 15 mL conical tube for each well to be plated (example: if plating 10 wells, the tube should contain 1 mL of Matrigel® combined with 9 mL of cold HepatiCult™ Organoid Growth Medium (Mouse)). Mix thoroughly and store on ice.
- Place the cooled 12-well plate on ice and add 950 μL of the Matrigel®/HepatiCult™ mixture (prepared in step 3.1.6) to each well to be plated.
- Process one tube/pellet from step A.21 at a time, as described below. Work quickly after adding Matrigel® to the pellet to ensure the Matrigel® does not solidify.
- Using a pipettor with a cooled 200 μL pipette tip, add 50 μL of the Matrigel®/HepatiCult™ mixture (prepared in step 3.1.6) on top of the pellet.
- Gently mix the suspension by pipetting up and down 5 - 8 times. Pipette only to the first stop to avoid introducing air bubbles.
- Pipette the entire suspension into 1 well of the 12-well plate containing 950 μL of the Matrigel®/HepatiCult™ mixture (prepared in step 3.1.7). Gently agitate plate to mix contents of the well.
- Repeat steps 3.1.9 - 11 for the remaining tubes, adding the 50 μL Matrigel®/HepatiCult™ cell suspension into a fresh well already containing 950 μL of the Matrigel®/HepatiCult™ mixture.
- Place the lid on the culture plate and place the plate on an orbital shaker set to 80 rpm in a 37°C incubator with 5% CO2.
- At 10 minutes after seeding the wells, capture one 2X image
per well using a brightfield microscope (Day 0 images).
Carefully return the plate to the incubator.
NOTE: Once cultures have been placed on an orbital shaker at 37°C, the Matrigel® in each well will often form a semi-solid ‘cloud’ in which fragments are encapsulated. - Take photos of the wells every other day, or at desired time points, to track the growth of organoids until they are passaged. No medium changes are necessary.
3.2 Passaging Hepatic Progenitor Organoids in a Dilute Matrigel® Suspension
- Place a wrapped 12-well plate for suspension culture at 2 - 8°C for at least 10 minutes (Greiner Bio-One #665102). Place boxes of sterile 1000 μL and 200 μL pipette tips at 2 - 8°C.
- Thaw Matrigel® on ice (~110 μL/well to be plated).
- Prepare complete HepatiCult™ Organoid Growth Medium (Mouse) (see PIS). Place on ice.
- Using a 1000 μL pipettor, determine the rough volume of the
contents of each well. Set the pipettor to this volume and
vigorously pipette the mixture up and down 30 times. Pipette
only to the first stop, taking care to minimize the generation
of bubbles.
Note: This results in mechanical breakdown of hepatic organoids and Matrigel® into smaller fragments of 30 - 100 μm. Check fragment sizes using a light microscope; if most fragments are larger than 100 μm, triturate until they are ≤ 100 μm (see Section 1.4). - If passaging multiple wells, combine the contents of all wells into a single 15 mL conical tube. If passaging a single well, transfer the entire volume of the well into one 15 mL conical tube.
- To prepare organoid fragments for plating, refer to steps B.9 - 11 of the PIS. To prepare single cells for plating, refer to steps 2.2.2 - 2.2.8 above.
- For subsequent steps in the passaging protocol, refer to steps
3.1.6 - 3.1.15.
Note: Monitor hepatic progenitor organoids daily. Organoids seeded with 200 fragments typically require passaging every 3 - 6 days; after the initial passage, use a 1:10 to 1:30 split ratio in subsequent passages.
4 Cryopreservation of Hepatic Progenitor Organoids
- Place Advanced DMEM/F-12 and CryoStor® CS10 (Catalog #07930) in a biosafety cabinet on ice.
- Place labeled 1.8 mL cryogenic vials in tube racks until ready to use. Immediately before use, place vials in the biosafety cabinet on ice.
- To prepare organoid fragments for cryopreservation, refer to steps B.4 - 10 of the PIS. Using the method outlined in step B.10, calculate the total volume required to transfer 800 organoid fragments per vial to be frozen (volume for 800 organoid fragments x # of vials). Add this total volume to a single 15 mL conical tube containing 1 mL of Advanced DMEM / F-12.
- Centrifuge tube at 290 x g for 5 minutes. Aspirate as much of the supernatant as possible without disturbing the pellet, leaving ~5 - 10 μL in the tube (the pellet is often not visible). Place tube on ice.
- Uncap 1.8 mL cryogenic vials on ice to minimize delays in subsequent steps.
- Gently resuspend pellet 5 - 8 times in 1 mL cold CryoStor® CS10.
- Add an additional 1 mL of cold CryoStor® CS10 for every vial to be cryopreserved and gently mix the suspension an additional 5 - 8 times by pipetting.
- Using a 1000 μL pipette, aliquot 1 mL of this CryoStor®/ fragment suspension into labeled and cooled 1.8 mL cryogenic vials, mixing the total volume in the conical tube 1 - 2 times prior to dispensing into each tube to ensure even distribution of fragments.
- Immediately cap and transfer all cryogenic vials containing fragments into a controlled-rate cell freezing container. Place cell freezing container at -80°C.
- Cryogenic vials should be transferred to liquid nitrogen
storage after 24 - 48 hours of storage at -80°C.
NOTE: For a complete thawing protocol, refer to the Mouse Hepatic Organoids PIS (Document #DX22147).

EasySep™小鼠TIL(CD45)正选试剂盒




沪公网安备31010102008431号